At Terrace Dental, we believe every smile tells a story and we’re proud to have helped so many of our patients create theirs. Our gallery showcases real transformations made possible through advanced dental care, precise techniques, and a commitment to natural, long-lasting results.
Whether it’s restoring confidence through cosmetic dentistry or achieving healthier function with restorative treatments, each image reflects the care and attention we bring to every patient.
Browse through our before-and-after photos to see how we’ve helped patients just like you achieve brighter, stronger, and more confident smiles.
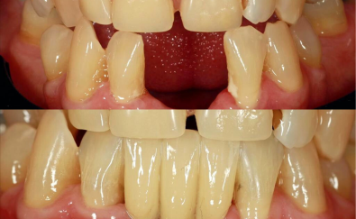
Patient goal: I want the gap on the front filled. I cannot afford implants | Treatment: Resin bonded bridge to replace the missing teeth.
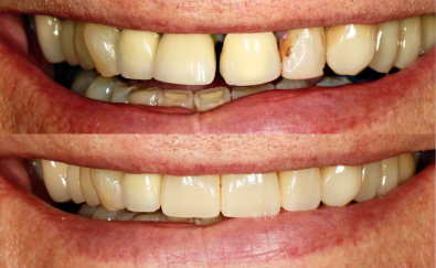
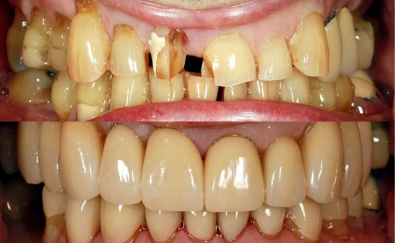
Patient goal: Treat the front lose crown which comes off frequently | Treatment: Removal of lose crown followed by a porcelain bridge and a porcelain veneer.
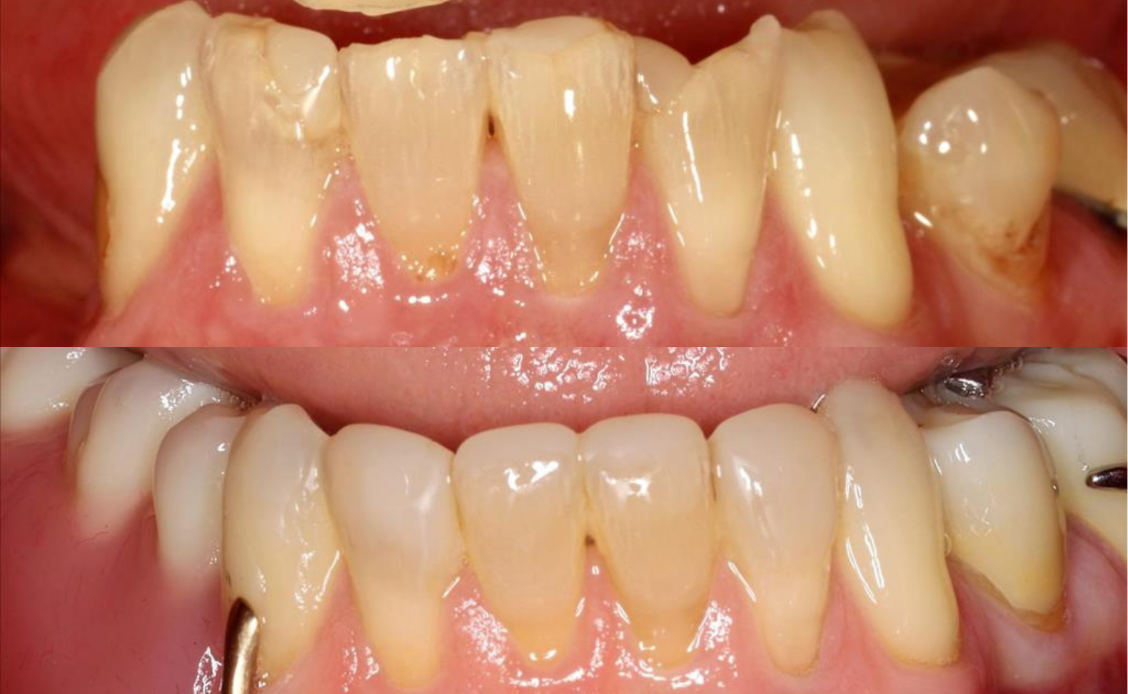
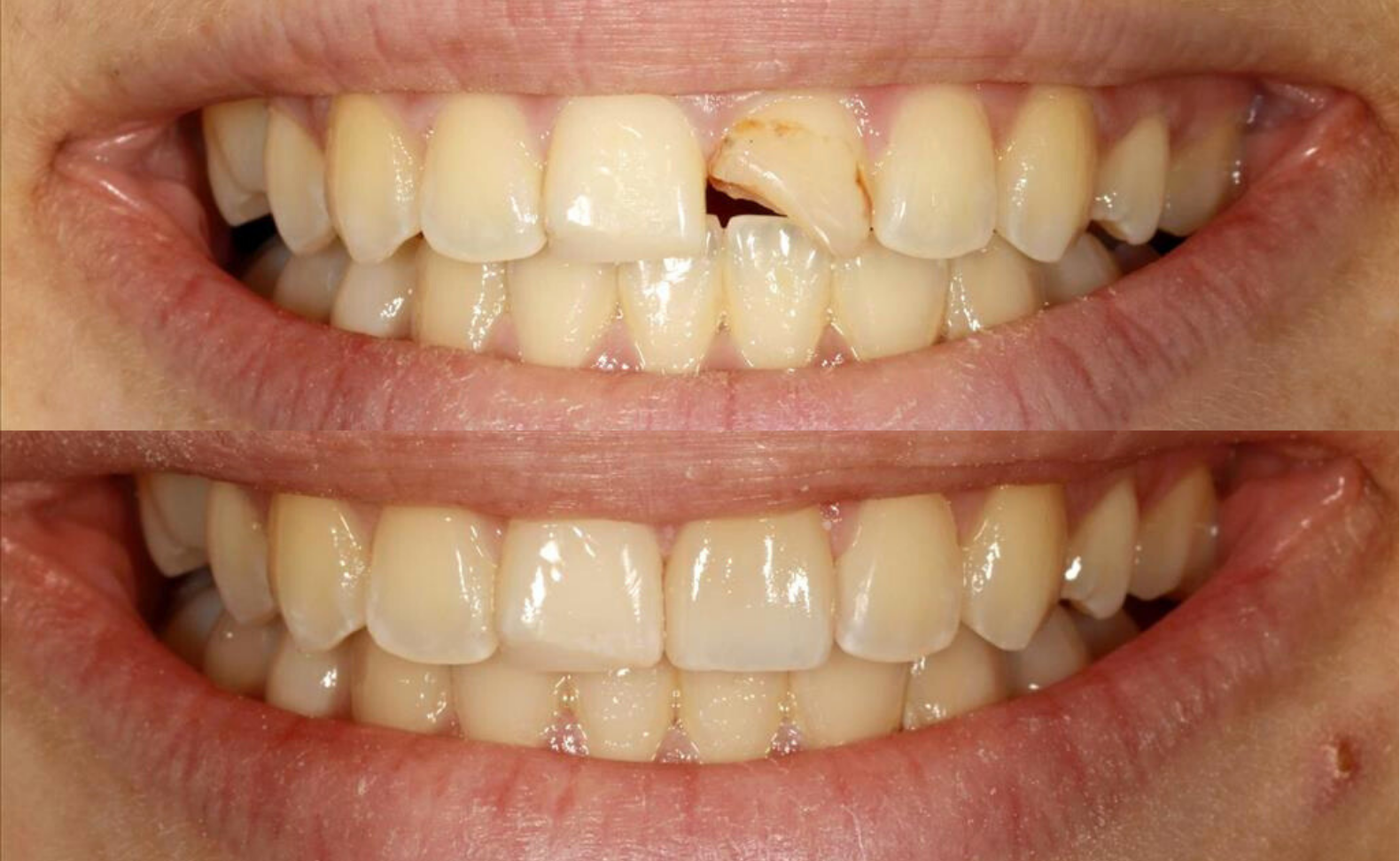
Patient goal: I want my smile to improve within a reasonable budget | Treatment: Direct composite build ups on the teeth to recreate the form, the function and the aesthetics
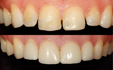
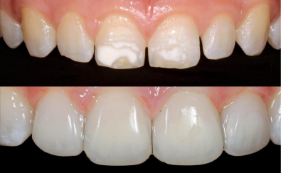
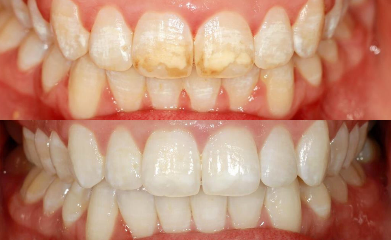
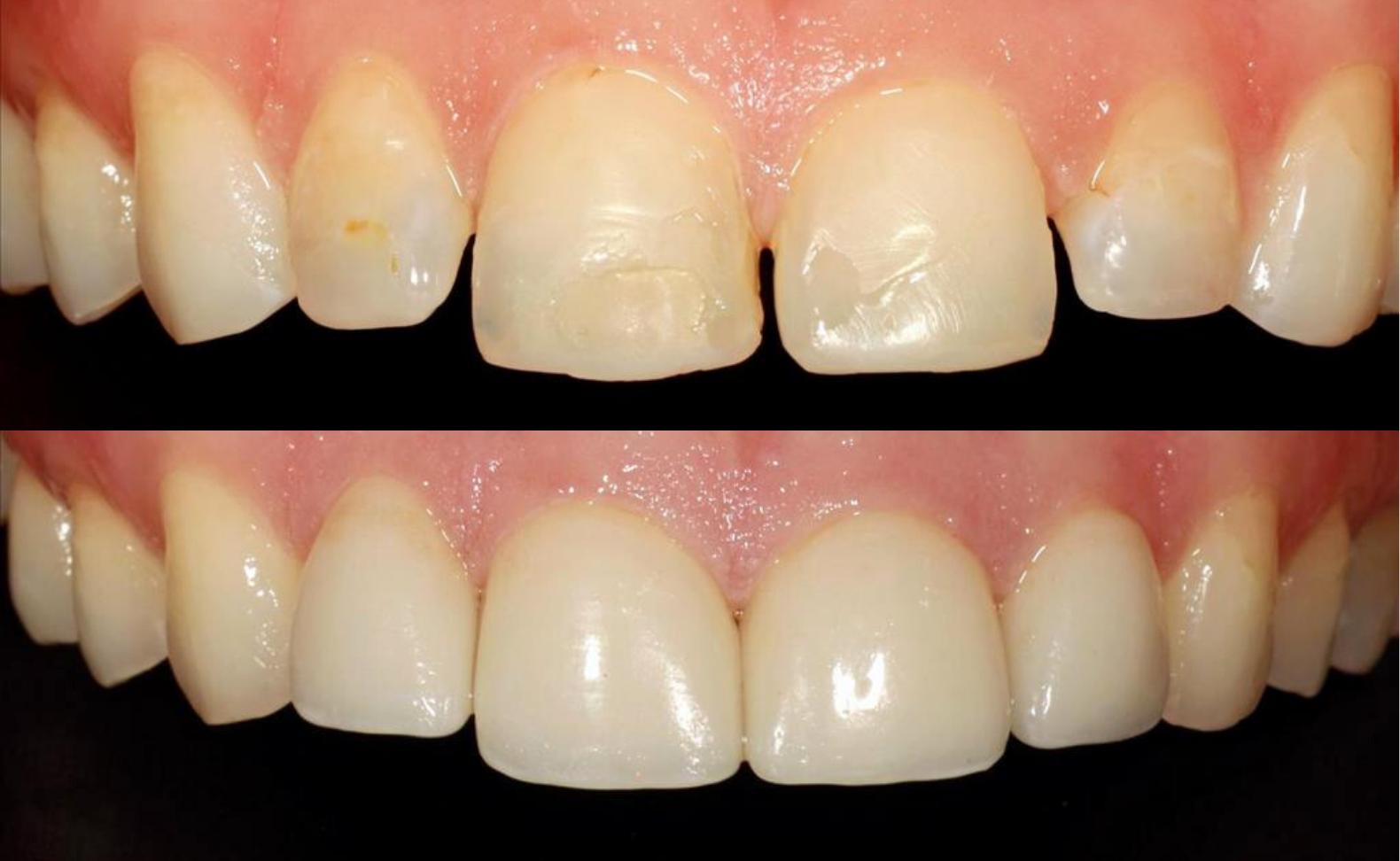
Patient goal: Get rid of the white patches and spaces between my teeth | Treatment: Tooth whitening followed by icon resin infiltration and additive direct composite veneers
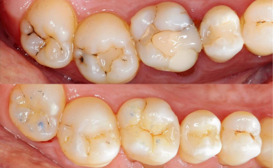
Patient goal: The back tooth needs to be fixed as it breaks of frequently. | Treatment: Porcelain onlay on the left tooth and direct composite filling on the right tooth.
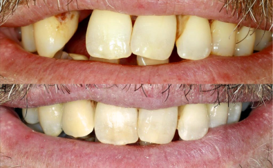
Patient goal: I want a nicer smile as the front tooth is very lose | Treatment: Tooth whitening, extraction, Resin bonded bridge and new composite fillings to replace old ones
Patient goal: I want to be able to eat as my old denture keeps dropping out | Treatment: a new Scandinavian design precision denture
Patient goal: I want to make the front teeth look better | Treatment: 2 crowns on the teeth and a temporary plastic denture to stay within budget
Patient goals: I want a new lower denture as the current one is old and lose | Treatment: Crowns on 2 back teeth, white fillings on the front teeth and a new lower Scandinavian design precision denture.
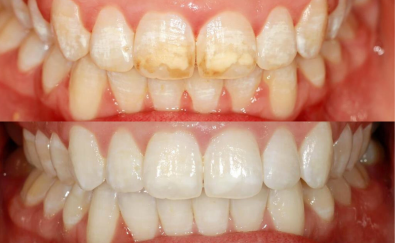
Patient goal: Make my smile nicer | Treatment: Professional tooth whitening
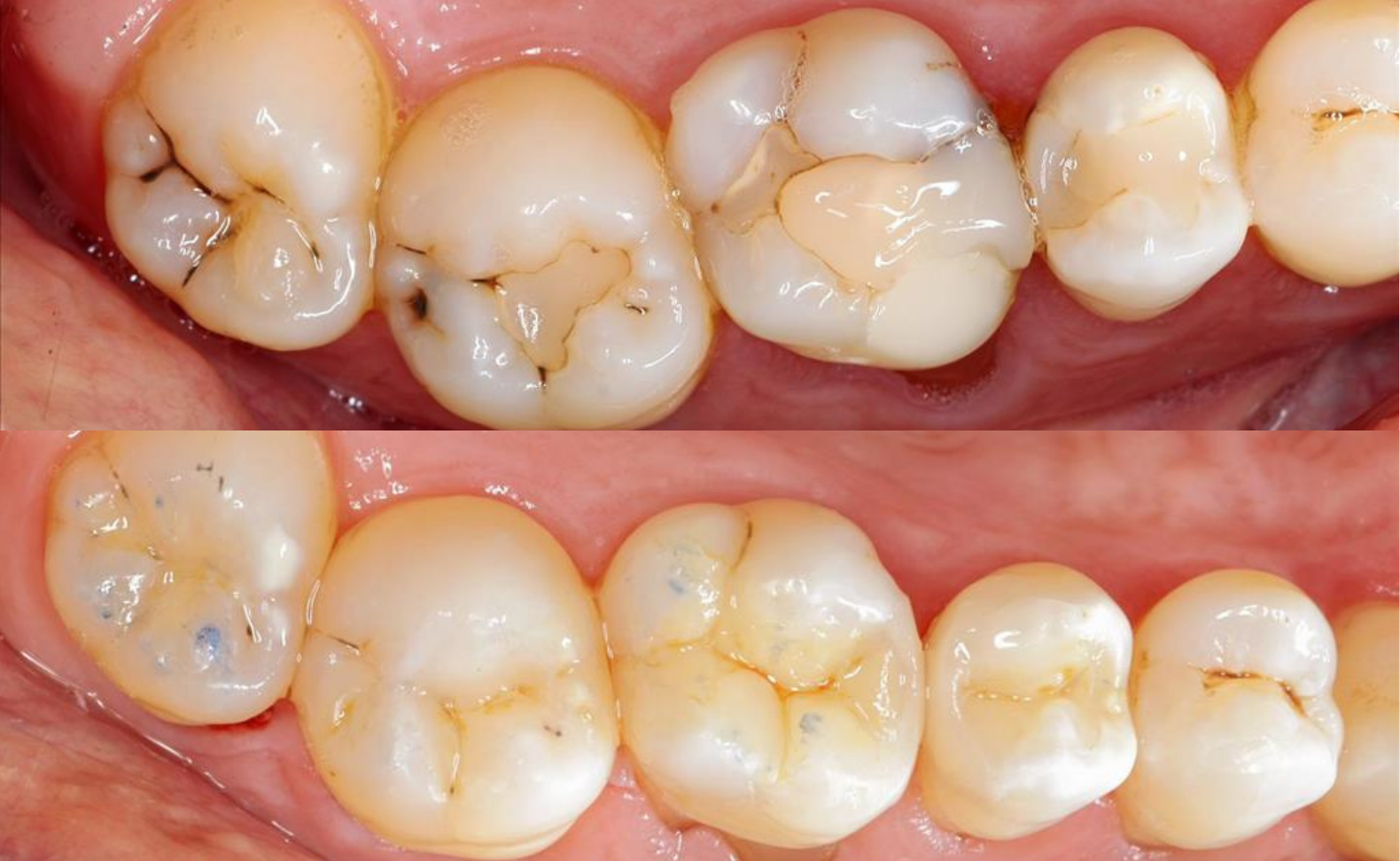
Patient goal: I dont want the tooth to break when I am eating. I want to avoid unexpected pain, I want to ensure comfortable bite and I dont like black filling | Treatment: Porcelain onlay over the tooth after removing the old filling and decay
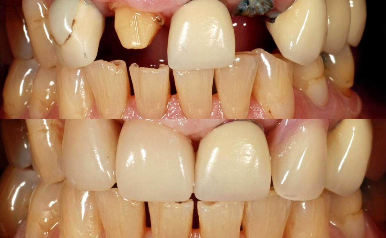
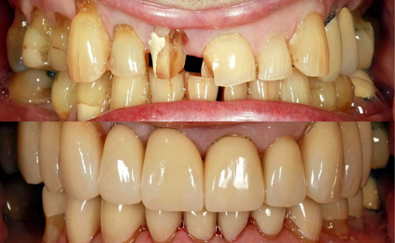
Patient goal: Fix the broken front tooth which will last for the next 15 years | Treatment: Full mouth rehabilitation with 28 crowns to recreate the form, the function and aesthetics to ensure longevity of the teeth.
Patient goals: I used to see a dentist but the fillings kept dropping out. I dont want them to drop out. I do not want to think about my teeth | Treatment: Replacement of old fillings which showed evidence of decay with new white fillings. This will prolong the life of the teeth.
Patient goal: Repair the broken tooth so that I can smile | Treatment: Porcelain bridge
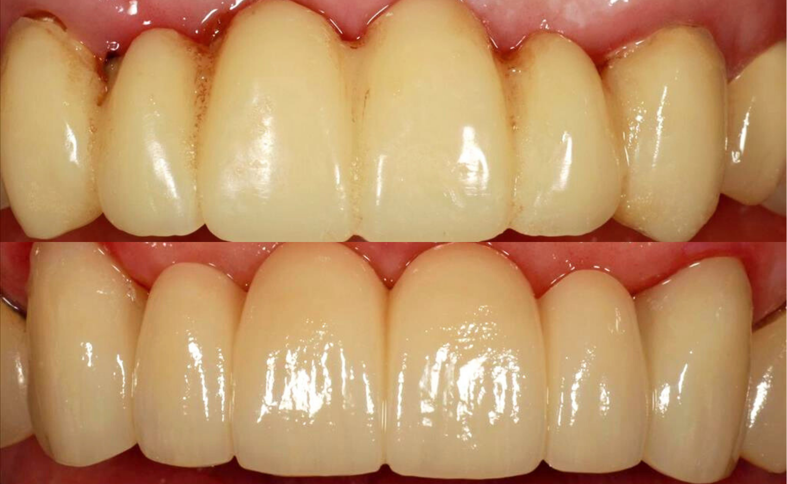
Patient goal: Reduce sensitivity, stop the front teeth from breaking apart, prevent more chipping of the teeth and make them look younger | Treatment: Porcelain veneers followed by a making a night guard.
Patient goal: I want to fix the broken tooth so it does not look fake | Treatment: 2 porcelain crowns on 2 broken teeth
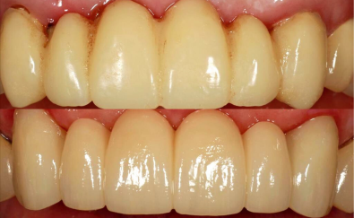
Patient goal: I want my broken tooth to look nice | Treatment: Single porcelain veneer on the broken tooth
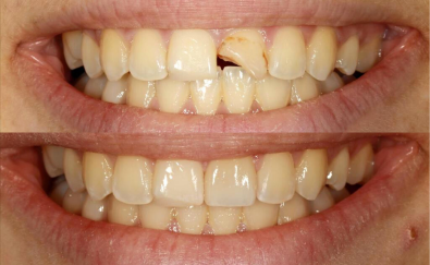
Patient goal: To fix the fracture edge of the tooth caused by a bottle | Treatment: Direct composite edge bonding of the tooth
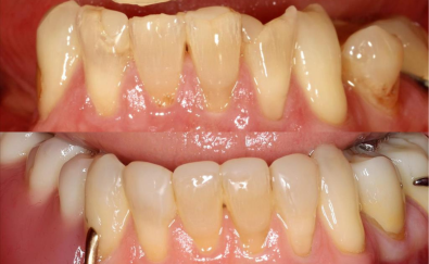
Patient goal: to treat the decay around old fillings on the front of the mouth without them looking like fillings | Treatment – direct composite fillings on the front 5 teeth
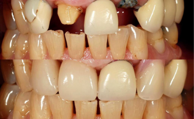
Patient goal: Manage the decay under the old bridge which is also very unsightly. It also causes a lisp. | Treatment: Porcelain bridge to replace the old one.
Patient goal: I want to replace the missing tooth as my old denture is broken | Treatment: Resin bonded bridge to replace the missing tooth
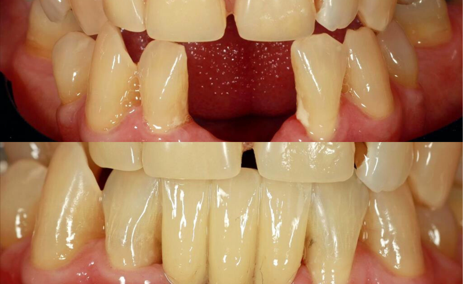
Treatment goal: I want the sensitivity to stop and lose more tooth. | Treatment: Direct composite filling to avoid long term gum surgery and pain.
Ready to take the next step towards a healthier, brighter smile? Use the form below to request your appointment with Terrace Dental Care. Simply fill in your details and a member of our friendly team will be in touch to confirm your booking.
At Terrace Dental Care, we offer a wide range of treatments to keep your smile healthy, comfortable, and confident. From routine check-ups and hygiene care to advanced cosmetic options, our friendly team is here to provide the care that’s right for you.